Hey, I'm Niket Girdhar.
I'm a Python Developer based in India. I'm passionate about learning new technologies and sharing knowledge with others.

Recent posts
Tiny Recursive Models - Why Recursion Beats Scale in AI Reasoning
Tiny Recursive Models prove that thinking longer through recursion can outperform thinking bigger through scale in AI reasoning.
January 26, 2026
dataRLsec - Safety, Security, and Reliability With Robust Offline Reinforcement Learning for DPAs
Junk data and data poisoning both corrupt AI at training time by distorting learned representations, and robust offline reinforcement learning defends against this by identifying and down-weighting untrustworthy data before it can damage reasoning and behavior.
January 19, 2026
Recent projects
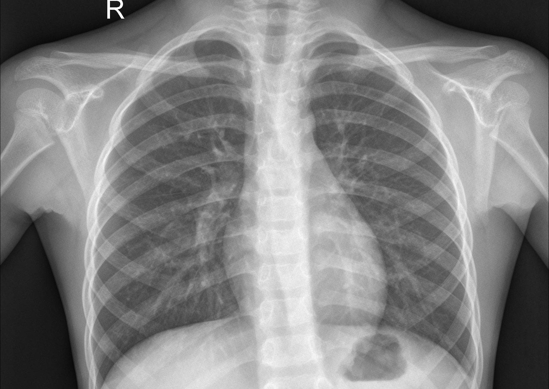
Custom CNN Model for Pheumonia Detection using Chest XRays
A lightweight domain specific CNN Model that aids in Pneumonia Detection by analysing the Chest X-Rays
January 10, 2026

Custom CNN Model for Pheumonia Detection using Chest XRays
A lightweight domain specific CNN Model that aids in Pneumonia Detection by analysing the Chest X-Rays
November 17, 2025
Recent Experiences
McKinsey.org Step Forward Program 2025
McKinsey.org Forward is a free ten-week learning program designed to equip individuals at different stages of their careers from career starters to job changers—with practical skills to succeed in the future of work.
September 16, 2025 - December 10, 2025
Amazon ML Summer School 2025
Amazon ML Summer School aims at providing students the opportunity to gain Machine Learning (ML) skills which is the first step in becoming ready to build a career in ML.
August 9, 2025 - August 31, 2025



